簡易動注療法(自費診療)
簡易動注療法(自費診療)

しまづ整形外科クリニックでは、2025年10月1日より「簡易動注療法」を開始いたします。
これは、従来の内服薬や関節注射、リハビリで十分な効果が得られなかった方に、新しい治療の選択肢をご提供するものです。

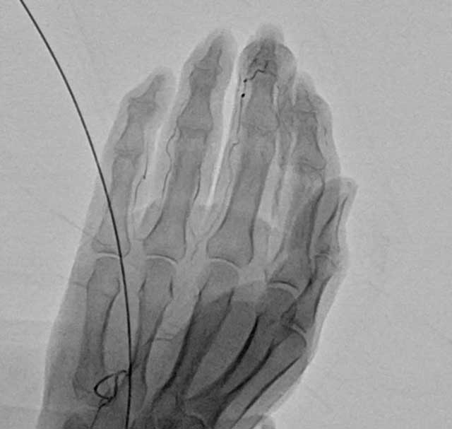
簡易動注療法は、エコーで血管を確認しながら、手首や足首などの動脈に薬剤を注入する治療です。
痛みの原因となる「モヤモヤ血管」と呼ばれる異常血管を一時的に塞ぐことで炎症を鎮め、慢性的な痛みを軽減します。
国内外の臨床研究では、患者さんの8割以上が持続的な痛みの軽快を実感しています。
日本国内ではすでに15,000例以上の施行実績があり、安全性と有効性が確認されています。

| 部位 | 費用(税込) | 備考 |
|---|---|---|
| 手(ヘバーデン結節・ブシャール結節・母指CM関節症) | 片手:27,500円 両手:38,500円 |
※片手に収まる範囲であれば複数の指でも同額 |
| 膝・足(変形性膝関節症、足底腱膜炎・外反母趾・アキレス腱炎・痛風など) | 片足:33,000円 両足:44,000円 |
- |
| 肘(テニス肘・ゴルフ肘・野球肘) | 片肘:33,000円 両肘:44,000円 |
- |
※自由診療(自費)であり、健康保険は適用されません。
この治療はオクノクリニックの奥野先生によって2014年に開発されたものです。当院はオクノクリニックとライセンス契約を結び動注治療を行なっております。
簡易動注療法は 完全予約制 です。診察の上で適応を判断し、治療日時を調整いたします。
「今までの治療で改善が乏しかった」「慢性的な痛みで日常生活に困っている」という方は、ぜひ一度ご相談ください。
TOP